中大新闻网讯(通讯员毛燕萍)日前,bat365在线中国登录入口肿瘤防治中心马骏教授团队牵头,联合梧州市红十字会医院、佛山市第一人民医院共3家单位,共同完成了一项鼻咽癌患者内侧组咽后淋巴结区豁免放疗对比标准放疗的前瞻性III期临床研究,首次创新鼻咽癌患者内侧组咽后淋巴结区豁免放疗的“减毒”新技术,在确保疗效的同时,显著改善了患者的生活质量。
该项研究于英国当地时间2023年2月6日在线发表于国际顶级医学期刊《英国医学杂志》(The British Medical Journal,BMJ)。马骏教授、孙颖教授、陈磊主任医师、唐玲珑主任医师为共同通讯作者,毛燕萍主任医师、王顺鑫硕士、高天生主任医师(梧州市红十字会医院)、张宁主任医师(佛山市第一人民医院)、梁晓雨医师、谢方云教授为共同第一作者。同时,这项研究作为10%以内的优秀论文入选了2022美国放射肿瘤学会(ASTRO)年会口头报告。
鼻咽癌具有明显的地区流行性,全球47%的病例发生在我国,其中广东、广西、福建等地尤为高发,严重威胁华南地区人民的生命健康。咽后淋巴结是鼻咽癌首站淋巴引流之一,初诊时转移率高达70-80%。既往推荐鼻咽癌全咽后淋巴结区预防照射,放疗相关毒性大,放疗后晚期吞咽困难发生率为35.4%,而这部分患者中有66.9%会发生误吸,12%吸入性肺炎,10%不能正常饮食、需要依赖鼻饲管或者胃造瘘。
马骏教授、孙颖教授、毛燕萍主任医师团队一直致力于鼻咽癌放疗“减毒”新技术的研究,早在2008年就发现鼻咽癌咽后淋巴结转移的规律:咽后淋巴结分为内侧组和外侧组,鼻咽癌咽后淋巴结转移主要发生在外侧组,内侧组极少受累,发生率不超过1%。在此基础上,马骏教授等牵头联合梧州市红十字会医院及佛山市第一人民医院,于2017年开展了一项前瞻性、随机、多中心的3期临床试验,比较了鼻咽癌内侧组咽后淋巴区豁免放疗与标准放疗(内、外侧组均接受放疗)的临床结果。
这项研究入组第八版AJCC分期系统分期为T1-4N0-3M0期的568例鼻咽癌患者,按1:1随机分配到内侧组咽后淋巴结豁免放疗组(285例)和标准放疗组(内、外侧组均接受放疗)(283例)。主要终点是意向性治疗人群的无局部复发生存率。

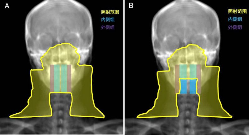
鼻咽癌预防照射范围示意图
A对照组:内、外侧组咽后淋巴结区均接受预防照射(左)
B试验组:内侧组咽后淋巴结区豁免预防照射(右)
结果显示,在鼻咽癌患者中,3年无局部复发生存率在内侧组咽后淋巴结区豁免放疗组和标准放疗组相似(95.3%对95.5%,差值-0.2%,非劣效P值<0.001)。同样,3年总生存率(95.2%对96.4%,P=0.16),无区域复发生存率(96.9%对94.0%,P=0.28),无远处转移生存率(89.7%对92.3% ,P=0.25)在两组间均相似。

内侧组咽后淋巴区豁免放疗组与标准放疗组生存曲线比较
(两组的无局部复发生存率、总生存率、无远处转移生存率及无区域复发生存率均无统计学差异)
在毒副反应和生活质量方面,内侧组咽后淋巴结区豁免放疗组放疗相关毒副反应发生率更低,包括急性黏膜炎(内侧组咽后淋巴结豁免放疗组67.7%对标准放疗组79.8%)、急性吞咽困难(25.5%对35.1%)、体重下降(46.8%对57.8%)以及晚期吞咽困难(24.0%对34.3%)。另外,内侧组咽后淋巴结区豁免放疗组在健康状况、社会功能、是否容易疲劳及吞咽困难等方面的生活质量均明显优于标准放疗组。

内侧组咽后淋巴区豁免放疗组与标准放疗组生存质量的比较
该研究创新性地提出了鼻咽癌患者内侧组咽后淋巴结区的豁免放疗“减毒”新技术,有效减少了咽缩肌等吞咽相关结构的照射,确保了患者治疗效果不降低的同时,明显减少放疗中的黏膜炎、吞咽困难、体重下降等毒副反应,提高了患者生活质量,将使99%鼻咽癌患者从中受益,今后有望改写临床鼻咽癌治疗指南,造福更多鼻咽癌患者。
论文链接:http://bmj.com/cgi/content/full/bmj-2022-072133?ijkey=YXh1OStXT0mwRNi&keytype=ref