中大新闻网讯(通讯员沈施施)近日,bat365在线中国登录入口附属第三医院脑病中心邱伟、蔡蔚团队联合国家纳米科学中心聂广军、王海教授等在国际知名期刊ACS Nano上发表题为“Neutrophil Nanovesicle Protects Against Experimental Autoimmune Encephalomyelitis through Enhancing Myelin Clearance by Microglia”的研究论文,附属第三医院纳米医学中心陶玉教授、李明强教授等参与研究。
作为中枢神经系统最常驻的吞噬细胞,小胶质细胞可清除髓鞘碎片,促进髓鞘再生。然而大量吞噬髓鞘后,其功能下降,反而会加重神经炎症。在目前多发性硬化(MS)等神经免疫病的治疗中,大分子药物主要靶向外周免疫进行调节,而忽视了中枢神经系统小胶质细胞的“双刃剑”作用。如何使外周大分子药物安全、有效地穿透血脑屏障,将其递送到中枢神经系统,并精准靶向小胶质细胞,以提高小胶质细胞的抗炎功能同时“关闭”其促炎功能,是传统大分子药物在神经免疫病治疗中面临的一大难题。
这是邱伟团队和聂广军团队今年继Nano Today(2022, vol. 44, 101457)发表论著后的又一丰硕合作成果。前期研究中,为了靶向小胶质细胞抑制中枢免疫活化,两个团队通过PEG2000和脑靶向肽angiopep-2修饰GLP-1受体激动剂,开发出纳米结构药物pALRGT,缓解中枢神经炎症反应。
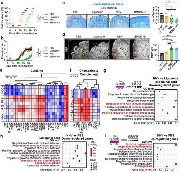
本研究继续围绕靶向、精准调节小胶质细胞功能开展。两个团队的研究人员联合制作出中性粒细胞来源的纳米囊泡(NNV),它可显著改善实验性自身免疫性脑脊髓炎(EAE)动物模型以及体外实验中小胶质细胞清除髓鞘碎片的能力,改善神经炎症,并最终促进髓鞘再生。

图1:NNV改善EAE动物模型(a-d),减轻神经炎症(e-i)
同时,研究人员进一步探索了NNV作用于小胶质细胞的下游机制。研究发现,NNV通过激活NRF2这一信号通路上调LC3相关吞噬作用(LAP),并促进小胶质细胞吞噬功能。

图2:NNV激活小胶质细胞NRF2信号通路,促进髓鞘碎片清除
研究人员还在临床多发性硬化(MS)和视神经脊髓炎(NMO)患者中展开探索。研究初步发现,NNV可促进MS患者外周血中的巨噬细胞清除髓鞘碎片。

图3:NNV可促进MS患者巨噬细胞清除髓鞘碎片
针对传统大分子药物在神经免疫病治疗中面临的科学难题,附属第三医院脑病中心邱伟教授、蔡蔚副研究员团队与国家纳米科学中心、附属第三医院纳米医学中心合作,借助新兴的纳米材料科学技术,在穿透血脑屏障、靶向小胶质细胞、精准调控小胶质细胞等新型纳米药物关键技术方面开展了系列研究,并发表多篇研究成果。本研究即是脑病中心脑科学与材料学领域的交叉融合研究成果之一。未来,脑病中心将充分利用多学科多领域合作优势,携手解决临床问题,进一步推进科研成果向临床应用转化。
附属第三医院脑病中心博士后沈施施、程希和博士研究生周路遥为该文章的共同第一作者。脑病中心邱伟教授、蔡蔚副研究员和国家纳米科学中心聂广军研究员为该文章的共同通讯作者。国家纳米科学中心王海研究员对课题进行了重要指导并提供了大力支持。